患者さんの負担の少ない
親知らず抜歯

- 「CT」による精密検査
- 痛みを抑える「伝達麻酔」



親知らずの抜歯は多くの歯科医院で行われる一般的な治療ですが、実際には処置の難易度はケースによって大きく異なります。特に難しいケースでは、事前にしっかりと診査診断を行わないと、処置に時間がかかるだけでなく、大量の出血や一時的な麻痺といったリスクも考えられます。そのため、当院では十分な診断と安全な治療体制を整え、対応しています。
親知らずの抜歯には、メリットもありますが、デメリットもあります。「抜くか、そのまま残すか」については、患者さんの意志を尊重した上で、慎重に検討を重ねます。
当院では、無理に抜歯を勧めることはありません。安心してご相談ください。

「親知らずは抜くべき」と思っている人が多くいますが、すべての親知らずを抜く必要はありません。将来的に入れ歯やブリッジをしなくてはならなくなったときに、その土台や移植用の歯として活用できることもあるからです。
斜めに生えていたり、痛みや腫れがある場合は抜歯が最善ですが、親知らずを抜く必要があるかどうかについても、お気軽にご相談ください。
余計な痛みを減らすためには、親知らずの治療にかける時間をなるべく短くすることが大切です。当院で行っている取り組みをご紹介します。

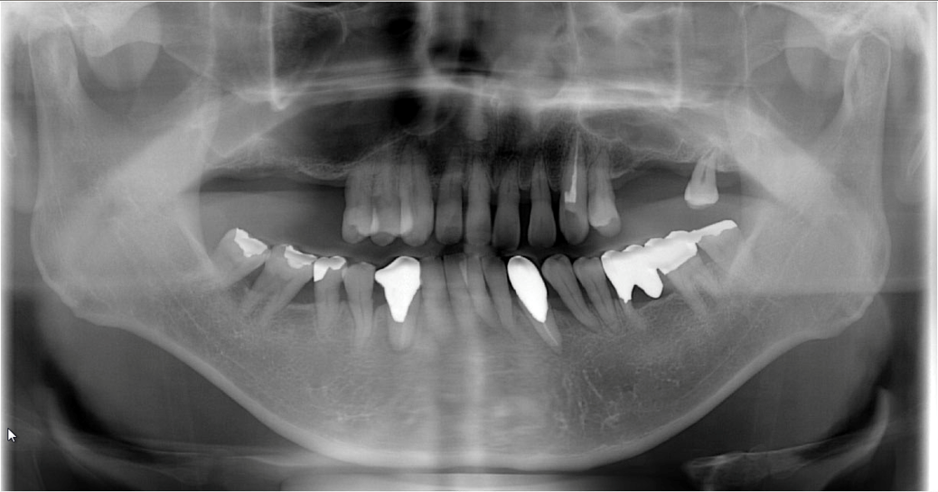
「パノラマレントゲン」は、副鼻腔や顎、上下の歯の状態を1枚の平面画像で確認できる検査です。歯の状態や周囲の組織を全体的に把握するため、治療前には必ず撮影します。

親知らずの周囲は、重要な血管や神経が複雑に絡み合っています。抜歯の際にこれらを傷つけないためには、事前に正確な情報が必要です。
当院では「CT検査」を行い、親知らず周辺の血管や神経の位置を詳細に把握します。この検査は、安全な抜歯を行うために欠かせない、大変重要なステップです。

親知らずを治療するとき、通常の局所麻酔では痛みを十分に抑えられないことがあります。当院では、痛みを最小限に抑えるために「伝達麻酔」を用いることがあります。
伝達麻酔は、痛みを感じる神経を麻痺させる方法で、広範囲に効果を発揮します。これにより、通常の麻酔よりも強力に痛みを軽減することが可能です。

妊娠を計画している女性には、親知らずの治療を早めに行うことをおすすめしています。
妊娠中はホルモンバランスの変化により、親知らずが突然痛み出すことがあります。もちろん、妊娠中でも親知らずの治療は可能ですが、母体と胎児への負担を考えると、「痛みのストレス」や「レントゲン撮影」、「麻酔」、「抗生物質の使用」など、治療に伴うリスクが懸念される場合もあります。
妊娠を考えている女性は、ぜひ妊娠前に親知らずの治療を検討してください。
片方の親知らずを抜いたら、もう片方も抜いた方が良いですか?
必ずしも抜く必要はありませんが、両方の親知らずが同じような問題を抱えている場合は、抜歯を推奨することがあります。
親知らずは歯並びに悪影響を与えますか?
親知らずが他の歯を押すことで、歯並びに影響を与えることがあります。ご心配な方はぜひご相談ください。レントゲン検査で歯並びへの影響を確認いたします。
どんな親知らずでも抜歯できますか?
当院では、他の医院で大学病院を紹介されたケースにも対応可能です。ただし、「心臓病」や「重度の糖尿病」、「神経や血管を損傷するリスクが高い」といった特殊なケースでは、他の専門医療機関を紹介させていただくこともあります。
当院では、患者さんが抱えていらっしゃるお口のお悩みや疑問・不安などにお応えする機会を設けております。どんなことでも構いませんので、私たちにお話ししていただけたらと思います。
ご興味がある方は下記からお問い合わせください。
