ただ、美しさだけを求めるのではなく
しっかり噛める歯を作ります

相談は無料です。お気軽にお問い合わせください。


相談は無料です。お気軽にお問い合わせください。


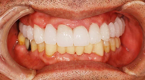
審美治療は、美しいお口元を作り出すのが目的です。
しかし、歯はただ美しくすればいいわけではありません。当院のセラミック治療では、「美しく、しっかり噛める歯」を提供するのを目的としています。
このために、次のような取り組みを行っています。

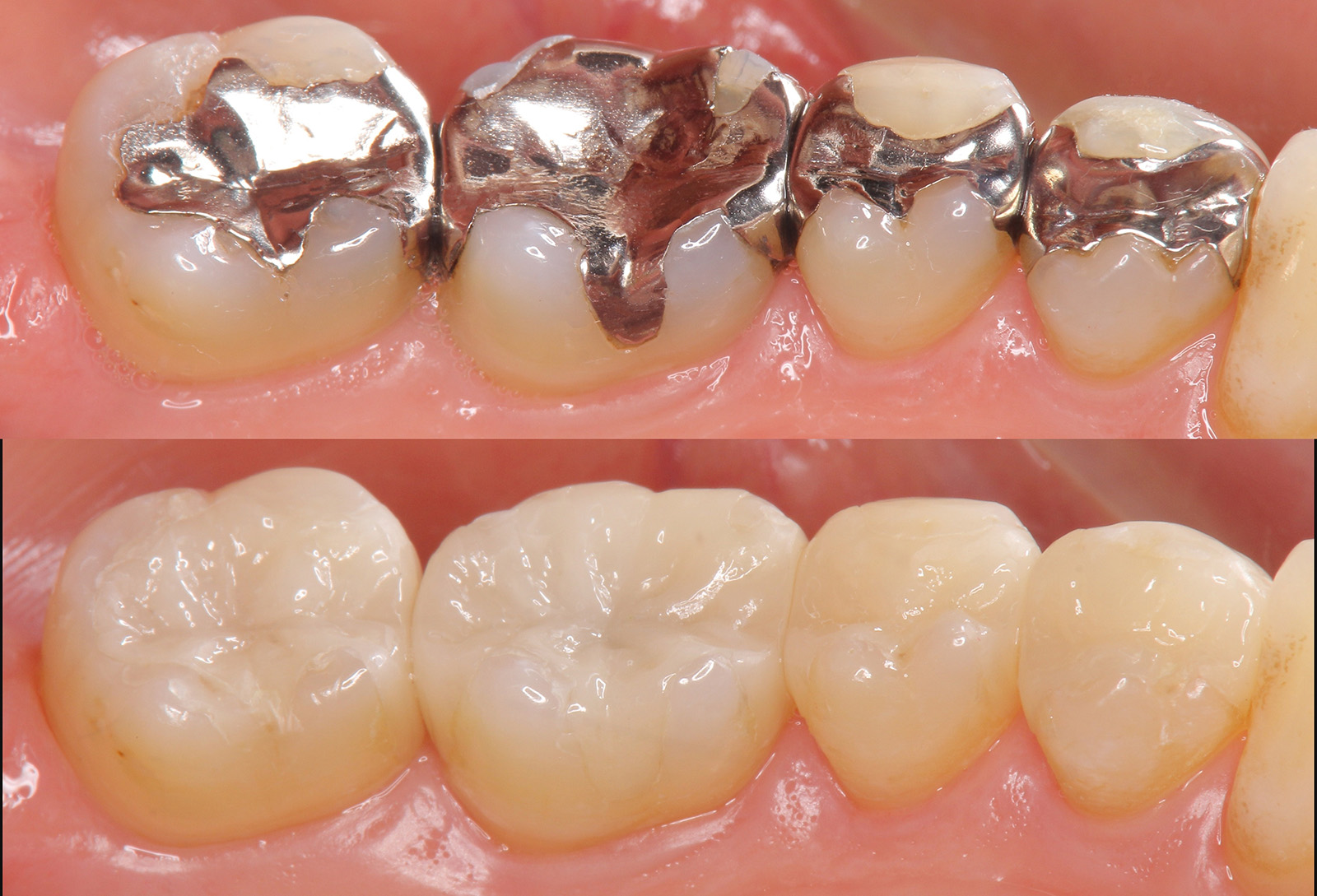
歯の治療では、さまざまな素材でできた人工歯(詰め物や被せ物など)をお口に装着します。しかし、その素材によっては「金属アレルギー」などの問題を引き起こすこともあります。
当院では、こういったリスクを軽減するために、身体に優しく、かつ審美性に優れた歯科素材を使用しています。当院で使用しているセラミック素材の一部をご紹介します。

「ジルコニア」は、その美しい見た目と高い強度から「人工ダイヤモンド」とも呼ばれるセラミック素材です。この素材は完全に陶器でできているため、身体に優しく、保険治療で使われる銀歯のように金属イオンが溶け出す心配がありません。さらに、非常に高い耐久性を持っているため、特に食いしばる力が強い患者さんにおすすめの素材です。

オールセラミックは、天然の歯に近い色合いとしっかりとした強度を兼ね備えた、体に優しいセラミック素材です。耐久性はジルコニアセラミックに比べるとやや劣りますが、そのため噛み合わせの力が強くかからない前歯などに適しています。

「ダイレクトボンディング」とは、歯の詰め物として「コンポジットレジン」という樹脂とセラミックを配合した材料を用いる治療法です。この材料は、すばやく硬化するため、短時間で治療を完了させることができます。自然な歯の色に近い仕上がりとなるのも魅力です。以下のような方には、特にダイレクトボンディングがおすすめです。
✅欠けた歯を低価格で手軽に修復したい方
✅小さな虫歯を早く治療したい方
✅気になる銀歯を白い詰め物に交換したい方
この治療法の大きな利点は、一度の来院で治療が完了する可能性が高いことです。ただし、大きな被せ物が必要な症例には適用できない場合もあります。詳細は当院までお問い合わせください。

あまり知られていないことですが、セラミックの被せ物で「歯並びを整える」ことができます。一般的に歯並びを改善する「矯正治療」は治療期間が長期になることが多いのですが、このセラミックを活用した「セラミック矯正」は2~3回の来院で治療が終了します。
詳しくは、こちらをご覧ください。

患者さんが理想としている美しさを叶えるためには、治療の各段階でしっかりとイメージのすり合わせを行うことが大切です。

治療前のカウンセリングでは、患者さんが理想とする歯のイメージを詳しくお伺いします。
歯の色のサンプルや模型を使用し、具体的なイメージを共有することで、治療の方向性を確実に定めることができます。

患者さんの歯形を取り、模型を作製します。歯の形や配置の具体的なイメージを模型で確認したら、仮歯を作成し、お口に合わせて調整します。
このステップにより、最終的な仕上がりを事前に確認することができます。

セラミック治療は見た目の美しさだけでなく、しっかりとした噛み合わせも重要です。顎関節症などのトラブルを防ぐために、仮歯を装着して噛み合わせのチェックを行い、問題がないか確認します。
模型から仮歯(プロビジョナル・レストレーション)を製作し、実際に装着します。そのとき、見た目の美しさはもちろん、以下の点についても確認します。
特に、噛み合わせは慎重にチェックをし、必要に応じて何度でも調整します。患者さんに納得していただけたら、仮歯をもとに最終的な被せ物を作ります。

当院が大切にしているのは、患者さんが理想とする美しさを叶えることです。患者さんの主観による「美しさ」を尊重しながら、専門的な観点からの「客観的な美しさ」を融合させたセラミック治療を行っています。
以下の4つのポイントを押さえたものを「客観的な美しさ」としています。

笑ったときに、下唇と歯並びのアーチを一致させることで、口元の美しさが際立ちます。
引用:山崎長郎著『エステティック クラシフィケーションズ』(クインテッセンス出版)

前歯の配列を「中切歯(1.618)」、「側切歯(1)」、「犬歯(0.618)」とすることで、審美性が格段にアップします。
引用:山崎長郎著『エステティック クラシフィケーションズ』(クインテッセンス出版)

正中線とは、顔の中心のラインのことを指します。上の前歯の中心を正中線に合わせると、全体的にバランスの取れた印象になります。

口元の美しさには「歯茎」の印象も重視されます。
当院の被せ物は、歯茎の生物学的幅径に考慮し、適合性のよさを考え抜いて製作しています。
当院では、患者さんが抱えていらっしゃるお口のお悩みや疑問・不安などにお応えする機会を設けております。どんなことでも構いませんので、私たちにお話ししていただけたらと思います。
ご興味がある方は下記からお問い合わせください。
